封耳心安 | 极简式MemoLefort封堵器成功封堵鸡翅型左心耳一例
近期,新疆维吾尔自治区人民医院姚娟教授团队完成了一例63岁男性鸡翅型左心耳封堵手术。患者合并慢性心力衰竭、冠状动脉粥样硬化、高血压病3级等疾病,CHA2DS2-VASC评分4分,HAS-BLED评分2分,卒中风险高。经团队综合评估,选用MemoLefort封堵器,通过极简策略进行左心耳封堵手术,术中使用退鞘法,实现平稳展开、稳定锚定与完全封堵,为此类高卒中风险、心耳解剖结构复杂的患者提供了一种更安全、更高效的治疗新范式。

患者基本信息
男性,63岁
诊断:慢性心力衰竭、心功能Ⅲ级、冠状动脉粥样硬化心脏病、PCI支架术后状态、心房颤动、高血压病3级(极高危)、2型糖尿病
卒中风险评分和出血风险评分
-
CHA2DS2-VASC评分4分,HAS-BLED评分2分。
-
卒中风险高、故行左心耳封堵手术。


术前检查:心脏CT测量开口直径

CT二维测量开口20.54mm
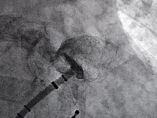
术中DSA肝位造影:大鸡翅型左心耳

心耳上缘内壁凹陷
肝位左心耳测量

开口24.97mm
深度25.25mm
术中鸡翅型封堵策略
-
本病例为鸡翅型左心耳,术前造影评估,开口24.97mm,深度25.25mm,深度足够,建议选择LAFDQ-29封堵器进行封堵。
-
术前多次确认心耳深度较深,心耳空间较大,结合《简化式左心耳封堵术临床路径中国专家共识(2022)》中优先推荐全身情况良好、心脏及左心耳解剖不复杂且能较好配合局部麻醉手术患者采用简化式手术,故本例手术患者拟行简化式左心耳封堵。
-
术中穿刺点靠下靠后,封堵器输送过程中须确保封堵器输送鞘轴向与左心耳轴向一致,深入心耳锚定区。
术中封堵器展开过程

MemoLefort封堵器展开后DSA下充分评估

释放后DSA下造影,多切面观察封堵左心耳开口无残余分流,且封堵器放置位置理想,充盈整个心耳开口处。


右肩位牵拉有回弹,
器械稳定
压缩比12.4%,
在10%-30%之间,
符合推荐压缩比


同时肝位、右肩位造影确认封堵器位置合适,无残余漏,左心耳完全封堵
Lefort封堵器释放
Lefort封堵器评估符合PASS原则,释放封堵器,封堵器位置稳定且未见残余漏,封堵完美。

符合PASS释放原则,封堵形态完美
病例小结
-
心耳内部空间较大,有充分利用心耳深度的封堵,本病例中使用退鞘法——鞘管在猪尾的引导下走到预定位置,封堵器鞘管对应的标线与心耳口部定位线对齐,然后缓慢退鞘展开封堵器,观察封堵器在输送鞘内的菱形腰线的位置,要求腰线垂直于封堵锚定线,同时边退鞘边逆时针旋转,保持封堵心耳的同轴向,封堵器即将展开结束时,轻轻抵住鞘管,避免封堵器的反弹力而平稳展开,展开后静置十多秒使得封堵器充分展开锚定于心耳内壁。
-
术中造影发现封堵器腰部锚定钩处部分受心耳内壁挤压发生形变,但Lefort顺应性佳,其远端花苞内扣结构,自适应心耳结构以应对复杂心耳,封堵器压缩比为12.4%,术后封堵器稳固锚定在心耳壁,封堵器与心耳紧密贴合,无过度扩张风险。
-
术前结合CT以及术中造影评估左心耳开口25mm,深度25mm,心耳内部空间较大,且患者全身情况良好,可较配合局部麻醉手术,采用极简式封堵术安全可行。术后封堵器形态完整,未见残余漏。
专家简介

-END-
专业的心血管医生学术交流平台


版权及免责声明:
本网站所发表内容知识产权归属医谱平台、主办方以及原作者等相关权利人,未经许可,禁止进行复制、传播、展示、镜像、转载、摘编等。经授权使用,须注明来源,否则将追究其法律责任。有关作品内容、版权和其他问题请与本网联系
发表留言
暂无留言
输入您的留言参与专家互动