再续“心”生!山东大学齐鲁医院(青岛)刘高利教授团队连续圆满完成多例高难度二尖瓣瓣中瓣手术
二尖瓣生物瓣衰败后的瓣中瓣(TMVI ViV)治疗,因二尖瓣环解剖结构复杂、周围毗邻组织影响、原生物瓣型号不明等多重挑战,被视为心血管介入领域一大挑战。近期,山东大学齐鲁医院(青岛)刘高利教授团队凭借深厚的解剖认知、精湛的诊疗技术和对国产创新瓣膜ScienCrown的熟练应用,成功攻克4例各具特色的二尖瓣瓣中瓣高难度手术。从重度狭窄合并反流到心功能极差等各种高危场景下,均实现了介入治疗的安全落地,为复杂二尖瓣生物瓣衰败后的诊疗提供了宝贵临床实践经验。


Case 1:原瓣型号未知+同轴性难题——全回收技术实现精准定位
超声提示:
二尖瓣生物瓣置换术后
二尖瓣生物瓣退行性病变狭窄(重度)并反流(轻-中度)
二尖瓣瓣架前缘中等回声(残存腱索可能性大)
左房扩大
三尖瓣反流(轻度)
肺动脉瓣反流(轻度)
肺动脉高压(轻度)

瓣架内径:27.6mm
瓣架外径:34.3mm
心室侧2mm:27.1mm
心室侧4mm:27.3mm




瓣架高度:21.2mm
neo-LVOT:604.2mm²
左室心肌厚度:3.9mm




瓣环切线位:右30度,头43度
第五肋间切口



-
麻醉方式:全身麻醉。
-
手术路径:经心尖入路。
-
球囊扩张策略:无需球囊预扩张,视瓣膜释放后结果决定是否后扩。
-
预选瓣膜型号:ScienCrown TAVTF29mm。
-
选瓣依据:该二尖瓣原置换生物瓣型号未知,CT测量生物瓣瓣环周长折算直径约27.6mm,瓣架高度约21.2mm。
-
植入深度:心房侧1/5~1/4瓣架长度,约mark点平齐瓣环。

二尖瓣生物瓣退行性病变狭窄(重度)并反流(轻-中度)
术中影像

加硬导丝盘置于左心房
160bpm起搏下初次释放瓣膜,瓣膜同轴性欠佳

160bpm起搏下部分回收瓣膜后,调整同轴性,第二次释放瓣膜

瓣膜位置良好,无张力脱钩

输送系统在心腔内完全闭合后撤出,配合收紧荷包

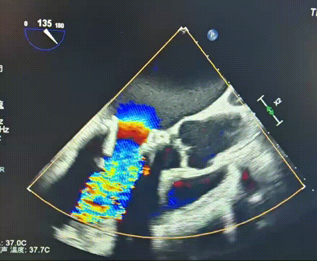
二尖瓣打开通畅,无瓣周漏

二尖瓣
最大流速:104cm/s
平均压差:术前21mmHg→ 术后2mmHg
无需进行球囊后扩张
Case 2:多瓣膜病+重度肺动脉高压——短瓣架设计安全保留LVOT空间
超声提示:
二尖瓣置换术后
二尖瓣狭窄(重度)并反流(轻中度)
双房扩大
主肺动脉扩张
主动脉瓣反流(轻度)
三尖瓣反流(中-重度)
肺动脉瓣反流(轻度)
肺动脉高压(重度)

瓣架内径:25.0mm
瓣架外径:28.7mm
心室侧2mm:24.1mm
心室侧4mm:24.1mm

心室侧6mm:23.9mm
心室侧10mm:23.0mm
左房侧少量钙化



瓣架高度:约17.0mm
工作角度-瓣环切线位:RAO39°CRA38°

瓣下1.2mm处可见二尖瓣
LVOT:22.6mm,NEO-LVOT:23.5mm,模拟植入介入瓣后,流出道剩余面积尚可
第五肋间切口



-
麻醉方式:全身麻醉。
-
手术路径:经心尖入路。
-
球囊扩张策略:无需球囊预扩张,视瓣膜释放后结果决定是否后扩。
-
预选瓣膜型号:ScienCrown TAVTF25mm,备TAVTF27mm瓣膜。
-
选瓣依据:该二尖瓣原置换生物瓣型号未知,CT测量生物瓣瓣环周长折算直径约25.0mm,瓣架高度约17mm。
-
植入深度:心房侧1/5~1/4瓣架长度,约mark点平齐瓣环。
术中影像

调整Mark点与瓣架平齐,先释放三分之一

150bpm起搏下全部展开,TEE评估少量瓣周漏

瓣膜脱钩释放

24mm球囊后扩,因鞘管显影不佳,难以观察导致后撤鞘管长度不够,因此球囊前期未完全打起,调整后扩张充分

球囊后扩后观察,位置、形态良好

TEE评估峰值流速仅0.8m/s
平均压差:术前18mmHg→ 术后3mmHg
Case 3:单纯重度狭窄+左室心肌肥厚——分步释放保障瓣膜稳定性
瓣架内径:25mm
瓣架外径:28.5mm
心室侧2mm:24.6mm
心室侧4mm:24.6mm




心室侧6mm:24.3mm
心室侧8mm:23.3mm
心室侧10mm:22.6mm
心室侧12mm:22mm




瓣架高度:18mm
neo-LVOT:516.9mm²
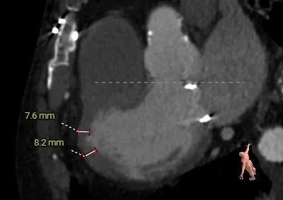
左室心肌厚度:7.6mm




瓣环切线位:RAO60°,CRA20°
第五肋间切口,心尖轻度转位,过肋弓,靠近胸骨中线方向



-
麻醉方式:全身麻醉。
-
手术路径:经心尖入路。
-
球囊扩张策略:无需球囊预扩张,视瓣膜释放后结果决定是否后扩。
-
预选瓣膜型号:ScienCrown TAVTF25mm。
-
选瓣依据:该二尖瓣原置换生物瓣型号未知,CT测量生物瓣瓣环周长折算直径约25.0mm,瓣架高度约18mm。
-
植入深度:心房侧1/5~1/4瓣架长度,约mark点平齐瓣环。

二尖瓣生物瓣退行性病变狭窄(重度)
术中影像


直头导丝配合鞘芯跨瓣,最终将加硬导丝盘置于左心房输送系统入心尖并跨瓣,同轴良好,调整瓣膜上1/4与瓣环平面平齐,瓣膜先预释放三分之一,后180bpm起博下完全释放瓣膜

瓣膜位置良好,无张力脱钩

输送系统在心腔内完全闭合后撤出,配合收紧荷包

二尖瓣打开通畅,无瓣周漏

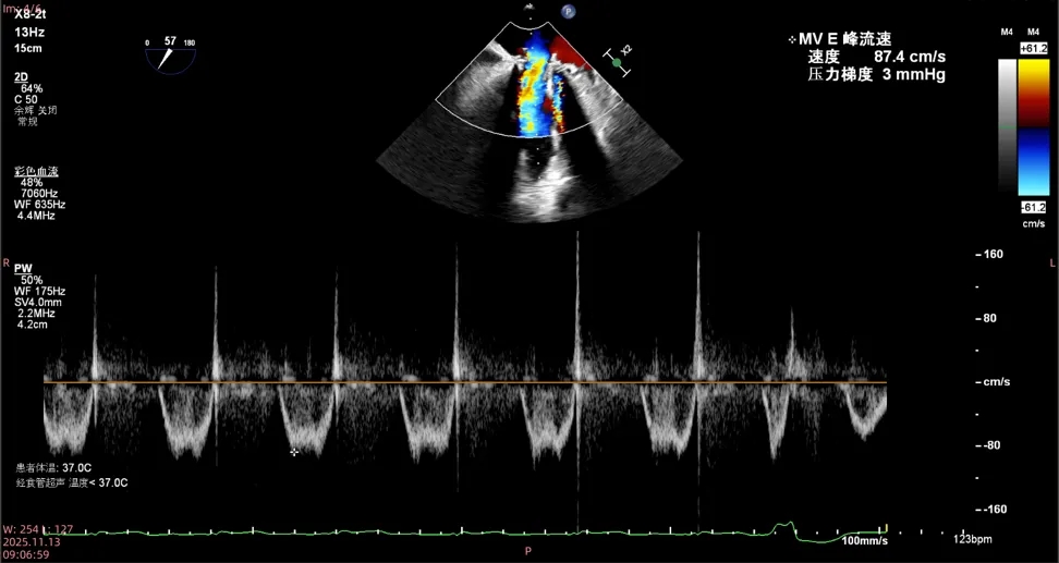
二尖瓣
最大流速:87.4cm/s
平均压差:3mmHg
Case 4:极高危心功能不全+室壁瘤——全回收技术突围复杂解剖
超声提示:
二尖瓣人工生物而置换术后,人工瓣退行性病变并狭窄(重度)
左室心尖部室壁瘤形成
左室壁节段性运动异常
肺动脉高压(中-重度)
全心扩大,室间隔基底段增厚
三尖反流(中度),主动脉反流(轻度),肺动脉瓣反流(轻度)
右室收缩功能减低,左室收缩,舒张功能减低
LVEF:28%

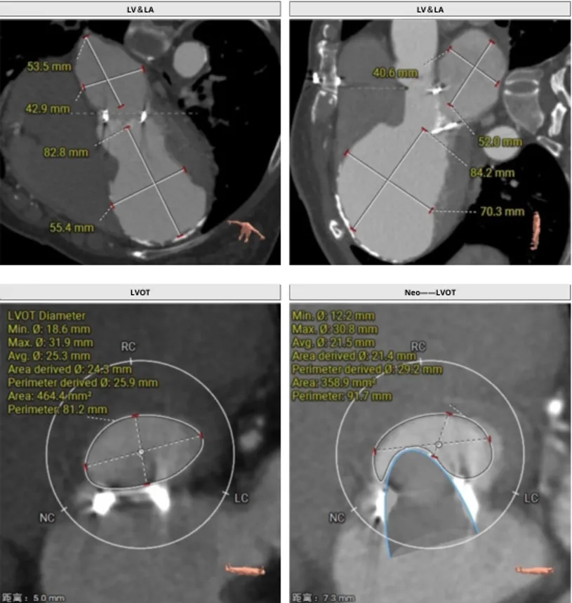
瓣架内径:24.0mm
瓣架外径:29.8mm
心室侧2mm:23.8mm
心室侧4mm:23.2mm

LVOT:464.4mm²
neo-LVOT:358.9mm²
左室心尖内壁钙化

瓣架高度:19.4mm
投照角度:RAO42°,CRA49°

肋间选择

-
麻醉方式:全身麻醉。
-
手术路径:经心尖入路。
-
球囊扩张策略:无需球囊预扩张,视瓣膜释放后结果决定是否后扩。
-
预选瓣膜型号:ScienCrown TAVTF25mm。
-
选瓣依据:该二尖瓣原置换生物瓣型号未知,CT测量生物瓣瓣环周长折算直径约24.0mm,瓣架高度约19.4mm。
-
植入深度:心房侧1/5~1/4瓣架长度,约mark点平齐瓣环。
-
其他情况:瓣架切线位角度过大,消毒前调整角度,必要时可垫肩;患者心功能较差,体外循环湿备。

二尖瓣生物瓣退行性病变狭窄(重度)并反流(轻-中度)
术中影像

泥鳅导丝配合单弯导管逆向跨瓣

瓣口面积过小,跨瓣困难,多角度尝试

沿加硬导丝送入输送系统导丝支撑性差,原本盘置于左房的加硬导丝在肺静脉口打圈

瓣膜初次释放位置偏深,第二次释放后位置理想、形态良好,无需球囊后扩

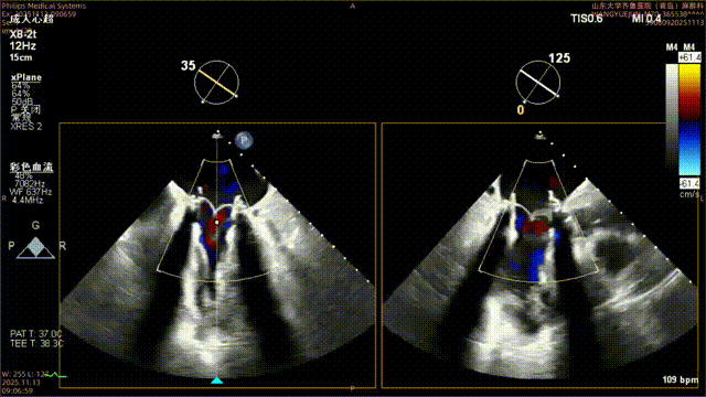
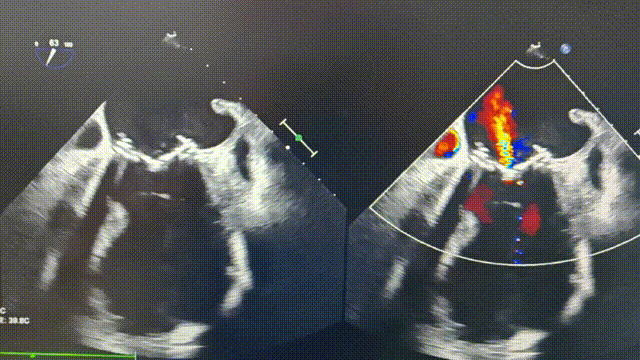
二尖瓣打开通畅,无瓣周漏;超声检查肺静脉无损伤。
总结
山东大学齐鲁医院(青岛)刘高利教授团队成功完成的4例高难度TMVI ViV手术,不仅彰显了团队在瓣膜介入核心技术上的突破和实力,也验证了这款国产创新自膨短瓣在复杂病例中的安全性和有效性。对于无法耐受二次开胸手术的二尖瓣生物瓣衰败患者,ScienCrown瓣膜的100%全释放&全可回收、短瓣架、精准定位、稳定释放等优势特征,结合刘高利教授团队的精湛技术,为其提供了更安全、更有效的治疗选择。
手术专家简介

刘高利
山东大学齐鲁医院(青岛)
山东大学齐鲁医院(青岛)心血管外科主任,医学博士,奥地利维也纳医科大学博士后,主任医师,硕士生导师,西海岸领军人才、青岛市优秀青年医学人才,青岛市拔尖人才,青岛市道德模范,山东省道德模范。
担任中华志愿者协会中西医结合专委会心外科全国副组长,中国民族卫生协会心血管专业委员会全国常委,中国医师协会心血管外科分会冠脉学组委员,国家心血管病微创专业委员会委员,山东省医师协会心外科分会副主任委员,山东省医师协会大血管专业委员会副主任委员、山东省医师研究型医院协会心脏及大血管专业委员会常委和青年委员会主委,亚洲心脏瓣膜协会委员及微创介入委员会委员;
主刀心脏外科手术超过9000例,在山东省率先开展了David、Morrow、胸腹主动脉替换、主动脉夹层全裸主动脉根部联合主动脉弓替换手术;一手拿手术刀、一手拿导丝导管,是全国不多的集“传统开胸”、“介入”、“微创切口”和“复合/杂交”技术于一身的医生,多项技术添补区域空白。其事迹先后被“学习强国”、财经日报、央视频、CCTV12等媒体多次专题报道。
END
专业的心血管医生学术交流平台


版权及免责声明:
本网站所发表内容知识产权归属医谱平台、主办方以及原作者等相关权利人,未经许可,禁止进行复制、传播、展示、镜像、转载、摘编等。经授权使用,须注明来源,否则将追究其法律责任。有关作品内容、版权和其他问题请与本网联系
发表留言
暂无留言
输入您的留言参与专家互动